SARS-CoV-2 (COVID-19)

Odpovědět
Alchymista
Redakční rada
Příspěvky: 55077
Registrován: 01 úno 2017, 08:58

Re: SARS-CoV-2 (COVID-19)

Příspěvek od Alchymista » 29 črc 2021, 19:15

https://echo24.cz/a/S5Lu6/18-jiz-existu ... lsti-vedci
18 již existujících léčiv by mohlo zabrat i proti covidu-19, tvrdí izraelští vědci
Vědci z Hebrejské univerzity v Jeruzalémě přišli na několik již existujících léčiv, které by podle nich mohla potencionálně pomoci v léčbě covidu-19 či dokonce nemocného člověka vyléčit. Izraelský výzkumný tým tvrdí, že takových léčivých látek, které by mohly být proti koronaviru účinné, našel osmnáct, píše web The Jerusalem Post.

K výzkumu vědci získali soubor s více než 2800 schválenými sloučeninami. V nepublikované práci byli vědci schopni ukázat, že některé z těchto sloučenin „vykazovaly pozoruhodnou účinnost proti celému viru v experimentech in vitro (ve zkumavce – pozn.red.)“. V laboratorních testech vědci zkoumali účinnost léčiv na buňkách infikovaných virem SARS-CoV-2.

Podle profesora Shy Arkina, biochemika z Institutu biologie Alexandra Silbermana, téměř všechny nakažené buňky, které byly umístěny společně s léčivými látkami, přežily. Naproti tomu přibližně polovina těch, které nebyly vystaveny lékům, nepřežily, řekl Arkin webu.

Mezi účinná léčiva patří podle vědců například darapladib, který se používá k léčbě kornatění tepen, a flumanitib, ten se používá k léčbě některých druhů rakoviny krve. Podle webu však Arkin se sdělením názvů jakýchkoli léčiv váhal, neboť je nemůže doporučit, dokud neprojdou řádnými klinickými testy.

Vědecký tým se zaměřil na již existující a známá léčiva. Mohl by tím totiž potencionálně urychlit budoucí regulační kroky k jejich použití, neboť se tyto léky již používají pro jiné indikace a je známa a schválena mimo jiné například jejich toxicita či vedlejší účinky.

Podle Arkina je důležité, aby existoval „velký arsenál“ léků pro boj s covidem-19. "Nikdy bychom neměli být v situaci, kdy v našem arzenálu máme jen jednu střelnou zbraň," řekl webu. "Pokud budeme mít jen jeden lék, spoléhali bychom se pouze na něj a přišel by čas, kdy selže, budeme ve velmi prekérní situaci," dodal. Arkin věří, že jeho tým je připraven na studie in vitro a in vivo (ve zkumavce i v „živém“ – pozn. red.), a hledá farmaceutického partnera, který by pomohl tyto studie uskutečnit.
COVID-19 nie je choroba, COVID-19 je globálny test inteligencie jedincov, spoločenstiev, národov a štátov.
Dinosauri sa venovali výhradne problémom vlastného rastu.

Uživatelský avatar
petrp
Šéfredaktor
Příspěvky: 19182
Registrován: 31 led 2017, 18:04

Re: SARS-CoV-2 (COVID-19)

Příspěvek od petrp » 30 črc 2021, 11:13

Respirátory zůstanou povinné, rozhodla vláda. Bez nich jen s papírem od doktora :nahlavu:
Vláda dnes schválila nové mimořádné opatření o nošení roušek a respirátorů ve vnitřních prostorách. To předchozí opatření v úterý zrušil Nejvyšší správní soud (NSS) s tím, že nebylo dostatečně odůvodněné. Kabinet tuto povinnost obnovil a zavedl výjimky jen pro chronicky nemocné.
https://www.parlamentnilisty.cz/arena/m ... ora-672179

Státní zaměstnanče, běž se očkovat, máš za to dva dny volna. Schválila to vláda
Šéf hnutí ANO Andrej Babiš na tiskové konferenci pořádané společně s ministrem zdravotnictví za hnutí ANO Adamem Vojtěchem oznámil, že státním zaměstnancům smluvně zajistil dva dny volna navíc. Podmínkou však je, že se musí nechat očkovat.
https://www.parlamentnilisty.cz/arena/m ... ada-672178

Daňoví poplatníci to zacálují. NSS tak ukaž, jak jsi rozhodný...
Máš rozum? „Mám.“ Proč ho tedy neužíváš? Neboť když ten plní svou povinnost, co jiného ještě chceš? Marcus Aurelius "Hovory k sobě"
Propaganda z lidí idioty nedělá, propaganda je na idioty cílená. G. B. Shaw

Uživatelský avatar
petrp
Šéfredaktor
Příspěvky: 19182
Registrován: 31 led 2017, 18:04

Re: SARS-CoV-2 (COVID-19)

Příspěvek od petrp » 30 črc 2021, 12:34

TO BY JIM NEMĚLO PROJÍT!
Letos v červnu 21.6.2021, Lisabonský soud rozhodl, že statistika úmrtí na Covid byla podvodně zkreslená a že mrtvých, které Covid skutečně usmrtil, bylo jen 0.9% z uváděných 17 000. To znamená jen 152. Také konstatoval, že jde o podvodnou poplašnou zprávu, jejíž šíření je podle platných zákonů trestné!
...
My máme také svých, více jak 30 000 mrtvých, s kterými se neustále děsí , přestože L. Dušek v roce 2020 nadnesl, že jen cca 8% mrtvých uváděných ve statistice, zemřelo skutečně na Covid a za pár měsíců poté oznámil tehdejší ministr Blatný v televizní debatě, že jde o maximálně o 30% z uváděných. Dodnes UZIS pod vedením L. Duška ve statistice uvádí formulaci, že jde o lidi, kteří byli testováni na Covid, bez ohledu jaké byly příčiny jejich úmrtí. Byla ustavena komise vedena prof.V. Černým a prověrku měla uskutečnit nejprve do konce března, pak přišly další nesplněné termíny, takže na závěr se čeká dodnes.
...
A proto se očkovací centra budují i na místech, které degradují naše zdravotnictví. Jestli se nepletu, tak bylo otevřeno již 43 centrum. Je to místo, kde může přijít kdokoliv a kdykoliv a je mu vpálena vakcína, aniž by píchač něco věděl o zdravotním stavu očkovaného, nikdy neviděl jeho zdravotní dokumentaci, nezná jeho anamnézu a přesto má to svědomí to do něj vpálit. Lépe řečeno, nemá žádné svědomí.
...
A ještě jedna perla nakonec. Americká FDA, nařizuje konec používáíí PCR testů koncem tohoto roku s odůvodněním, že ty slavné PCR testy neumí rozlišit mezi Covidem a chřipkou!!!! Věc, na kterou se již ptalo tisíce lidí. Takže ti naši mudrci, házeli do jednoho pytle dvě nemoci, které mají odlišné léčebné postupy, léčí se jinak, takže mohlo kvůli nedokonalým PCR testům dojít i k poškození zdraví pacientů. Nesprávně léčených nebo naopak neléčených. Vakcína na Covid, pro člověka ihned po chřipce, určitě není to co by potřeboval. Na to jsou vakcíny proti chřipce. Přitom o neomylnost PCR testů se prakticky opíraly veškerá vládní nařízení, veškeré léčebné postupy, veškerá doporučení slavného MeSESu.
Tento fakt navozuje nesmírně důležitou otázku. Na co tedy doopravdy zemřelo, těch více jak 30 000 lidí? Na chřipku nebo na Covid? A nezemřeli právě proto, že léčba neprobíhala kvůli mylným informacím správně? Myslím, že právníci teď budou mít hodně práce!
https://pravyprostor.cz/to-by-jim-nemelo-projit/
Máš rozum? „Mám.“ Proč ho tedy neužíváš? Neboť když ten plní svou povinnost, co jiného ještě chceš? Marcus Aurelius "Hovory k sobě"
Propaganda z lidí idioty nedělá, propaganda je na idioty cílená. G. B. Shaw

Alchymista
Redakční rada
Příspěvky: 55077
Registrován: 01 úno 2017, 08:58

Re: SARS-CoV-2 (COVID-19)

Příspěvek od Alchymista » 30 črc 2021, 18:34

https://www.ac24.cz/zpravy-z-domova/v-p ... i-autobus/
V Praze bude jezdit očkovací autobus
Kromě očkovacích míst bez registrace, které jsou již dostupné v řadě měst celé republiky, si Praha připravila další novinku. Po městě totiž bude jezdit autobus, tedy pojízdné očkovací centrum, které zřídil pražský magistrát. (Foto: Petr Kratochvíl)

Jak píše web Novinky, poprvé budou zdravotníci v autobuse očkovat v sobotu u zoologické zahrady v Troji.

Očkovat se budou moci i děti od 12 let. Tam se budou moci zájemci o očkování bez předchozí registrace dostavit o nadcházejícím víkendu v době od 9:00 do 17:00.

„Autobus bude přistaven na místech, která jsou frekventovaná, nebo na významných akcích,“ konstatoval primátor Prahy Zdeněk Hřib.

Zoologická zahrada však není jediné místo, kde bude autobus stavět. Budou to i náplavky u Hořejšího a Rašínova nábřeží, na Olympijském festivalu ve Stromovce nebo na pražském Výstavišti.

Uvádí se, že autobus, který bezplatně zapůjčil Dopravní podnik hlavního města, stihne naočkovat až 300 lidí denně.

Provoz bude zajišťovat zdravotnický tým Metropolitního očkovacího centra na Vyšehradě ze společnosti MEDICON.

Co se týče vakcín, pak lidé si budou moci vybrat z jednodávkové Johnson&Johnson a dvoudávkové Pfizer/BioNTech.

Pakliže si vyberou druhou zmíněnou možnost, pak se na druhou dávku mohou dostavit buď zpět do autobusu, nebo se budou moci objednat na jiné očkovací místo.

Na většině míst se bude podávat pod dohledem pediatra i vakcína dětem ve věku 12 – 15 let. Jak uvedli zástupci magistrátu, bude se jednat o první očkovací místo, kde se budou moci lidé z této kategorie očkovat bez registrace.

Kromě nich se budou moci očkovat i cizinci a usiluje se u ministerstva i o možnost očkovat samoplátce.
COVID-19 nie je choroba, COVID-19 je globálny test inteligencie jedincov, spoločenstiev, národov a štátov.
Dinosauri sa venovali výhradne problémom vlastného rastu.

Alchymista
Redakční rada
Příspěvky: 55077
Registrován: 01 úno 2017, 08:58

Re: SARS-CoV-2 (COVID-19)

Příspěvek od Alchymista » 30 črc 2021, 18:42

https://cz.sputniknews.com/20210730/rus ... 18120.html
Ruský fond přímých investic informoval o studiích kombinace vakcín AstraZeneca a Sputnik V
Předběžné výsledky klinických studií kombinovaného použití vakcíny proti covidu-19 společnosti AstraZeneca a první složky vakcíny Sputnik V (přípravek Sputnik Lite) v Ázerbájdžánu ukázaly absenci vážných vedlejších jevů a případů onemocnění po očkování.
První údaje o immunogenicitě kombinace těchto přípravků se plánuje zveřejnit v srpnu, uvádí se ve zprávě Ruského fondu přímých investic (RFPI).
Výzkumy bezpečnosti a immunogenicity (schopnosti antigenu vyvolávat imunitní reakci nezávisle na jeho imunitní specifičnosti) kombinace vakcín AstraZeneca a Sputnik Lite v Ázerbájdžánu začaly v únoru letošního roku, do dneška bylo naočkováno 50 dobrovolníků, nábor dobrovolníků pro klinické studie pokračuje.
„Dílčí rozbor údajů ukazuje vysokou bezpečnost kombinované aplikace obou vakcín, nebyly zaznamenány vážné nežádoucí jevy ani případy onemocnění koronavirem po očkování. V srpnu roku 2021 zveřejní RFPI a jeho partneři první údaje o immunogenicitě kombinovaného použití vakcíny AstraZeneca a první složky vakcíny Sputnik V v Ázerbájdžánské republice,“ oznámil fond. RFPI poukazuje na to, že se klinické studie kombinace vakcín provádějí v rámci globálního programu současně v několika zemích, očkování dobrovolníků probíhá ve Spojených arabských emirátech, regulační orgány schválily studie v Rusku a Bělorusku.
„V podmínkách, kdy se objevují nové kmeny koronaviru, hraje partnerství výrobců vakcín a kombinování různých přípravků klíčovou roli pro úspěšný boj s pandemií. Vycházeje z vysoké efektivity přístupu heterogenního přeočkování („vakcínového koktejlu“), přišel RFPI jako první na světě s návrhem partnerství s jinými výrobci vakcín proti koronaviru,“ řekl generální ředitel RFPI Kirill Dmitrijev, jehož slova se uvádějí ve zprávě.
„Prvním podobným partnerstvím se staly společné klinické studie se společností AstraZeneca. Počítáme s jejich úspěchem v Ázerbájdžánu a v jiných zemích, což umožní efektivněji provádět programy vakcinace a ochránit zdraví lidí na celém světě,“ dodal.
Ruský fond přímých investic (RFPI) považuje za důležité společné výzkumy kombinování vakcíny proti koronaviru Sputnik Lite s vakcínami od jiných výrobců pro efektivnější čelení novým kmenům covidu-19, prohlásil generální ředitel RFPI Kirill Dmitrijev. „Považujeme za důležité společné výzkumy kombinování první složky Sputniku V s vakcínami od jiných výrobců pro efektivnější boj s nově vznikajícími kmeny koronaviru,“ řekl Dmitrijev, jehož slova se uvádějí ve zprávě RFPI.
Že vôbec na niečo také pristúpili... :nahlavu:
COVID-19 nie je choroba, COVID-19 je globálny test inteligencie jedincov, spoločenstiev, národov a štátov.
Dinosauri sa venovali výhradne problémom vlastného rastu.

Alchymista
Redakční rada
Příspěvky: 55077
Registrován: 01 úno 2017, 08:58

Re: SARS-CoV-2 (COVID-19)

Příspěvek od Alchymista » 31 črc 2021, 13:43

https://www.zdravotnickydenik.cz/2021/0 ... fekcnosti/
Odborníci nedoporučují uznávat protilátky na covid jako prokázání bezinfekčnosti
Odborníci nedoporučují uznávat protilátky na covid-19 jako prokázání bezinfekčnosti. Člověk, který má protilátky, podle nich může onemocnět. Naopak negativní test na protilátky neznamená, že se člověk nedokáže před infekcí covidem chránit. Novinářům to včera řekla náměstkyně ministra zdravotnictví Martina Koziar Vašáková, která je zároveň předsedkyní České pneumologické a ftizeologické společnosti.

Nejvyšší správní soud koncem června rozhodl, že ministerstvo zdravotnictví diskriminovalo lidi s laboratorně potvrzenými protilátkami proti nemoci covid-19.

Podle Vašákové není imunita jednoznačně zobrazitelná pouze protilátkami. I když člověk má pozitivní protilátky, může podle ní onemocnět a jsou i známy případy, kdy se to stalo. Naopak negativní výsledek testování na protilátky neznamená, že se organismus nedokáže chránit. Imunitní systém je podle Vašákové chytrý a u mladého jedince protilátky „uklidí“. Aktivuje je až tehdy, když je virus nablízku. Proto závěrem je, že přítomnost protilátek nelze využít jako prokázání bezinfekčnosti.

Vašáková také řekla, že na tomto stanovisku se shodli členové klinické skupiny, která je pracovní a poradní skupinou ministerstva. Ministerstvo podle ní názor skupiny akceptuje a nebude vydávat žádné opatření, které by přítomnost protilátek zohledňovalo.

Jako doklad o bezinfekčnosti, který je potřeba například k návštěvě kulturních akcí a cestování, nyní platí dokončené očkování, potvrzení o prodělání nemoci v posledních 180 dnech nebo negativní test na covid. V Rakousku uznávají i protilátky, podle odborníků k tomu ale jiné země nepřistoupily.

Podle předsedy vakcinologické společnosti Romana Chlíbka také nejsou protilátky důvodem, proč by se člověk neměl nechat očkovat. Po očkování podle něj klesají hodnoty protilátek pomaleji než po prodělání nemoci. Chlíbek také dnes řekl, že zatím nejsou k dispozici data o tom, zda bude potřeba některým skupinám populace podat třetí posilující dávku očkování, případně kterým.

Zatím není jasné ani to, zda se na devět měsíců prodlouží doba po prodělání covidu-19, po kterou je člověk považován za bezinfekčního. Podle Vašákové je možné, že se tak stane, ale některé odborné práce ukazují, že u části lidí po pátém měsíci imunita výrazně slábne.

Test na protilátky je podle Vašákové v současnosti důležitý jen ve dvou případech. První je, pokud má člověk příznaky covidu, ale test na covid má negativní. Protilátky se vyšetřují také u dárců krevní plazmy, která se experimentálně používá k léčbě covidu.

Stanovisko k detekci protilátek proti covidu-19 dnes zveřejnila také Mezioborová skupina pro epidemické situace (MeSES). Plošné zjišťování hladiny protilátek se podle skupiny jeví jako neefektivní a zbytečné. „Cena standardizovaných testů neutralizačních protilátek výrazně převyšuje cenu vakcín,“ uvedl MeSES v tiskové zprávě. S ohledem na náklady a přínosy má podle MeSES zjišťování protilátek potenciálně význam u pacientů s potlačenou imunitou, u kterých by bylo možné uvažovat o podání dodatečné dávky vakcíny.

Skupina také upozorňuje na to, že metodika měření neutralizačních protilátek není ve většině laboratoří standardizována, takže absolutní hodnoty nejsou vzájemně porovnatelné. „Tato měření sloužila zatím spíš pro výzkumné účely,“ vysvětlil důvody vedoucí skupiny Petr Smejkal. Řešením by bylo sjednocení metodiky podle standardu Světové zdravotnické organizace (WHO) a následným stanovením hranice, jaké množství protilátek je s vysokou pravděpodobností dostatečnou ochranou proti onemocnění.
COVID-19 nie je choroba, COVID-19 je globálny test inteligencie jedincov, spoločenstiev, národov a štátov.
Dinosauri sa venovali výhradne problémom vlastného rastu.

Uživatelský avatar
petrp
Šéfredaktor
Příspěvky: 19182
Registrován: 31 led 2017, 18:04

Re: SARS-CoV-2 (COVID-19)

Příspěvek od petrp » 01 srp 2021, 10:32

Zlaté časy pro Pfizer. Zisky se počítají v desítkách miliard dolarů
Varianta koronaviru delta, dříve známá jako indická, se šíří v Evropě, v USA, v Asii i v Africe. A svět hledá záchranu v očkování. Firmy, které vakcíny vyvíjejí, si mnou potěšeně ruce. Především společnosti Pfizer/BioNTech mohou být spokojené. Pfizer oznámil, že v roce 2021 počítá s tržbami 33,5 miliardy dolarů, to je v přepočtu asi 717 miliard korun.
https://www.parlamentnilisty.cz/arena/m ... aru-672359
Máš rozum? „Mám.“ Proč ho tedy neužíváš? Neboť když ten plní svou povinnost, co jiného ještě chceš? Marcus Aurelius "Hovory k sobě"
Propaganda z lidí idioty nedělá, propaganda je na idioty cílená. G. B. Shaw

Uživatelský avatar
petrp
Šéfredaktor
Příspěvky: 19182
Registrován: 31 led 2017, 18:04

Re: SARS-CoV-2 (COVID-19)

Příspěvek od petrp » 01 srp 2021, 17:36

Pfizer a Moderna v EU zvýšily ceny za vakcíny proti covidu, píše FT
Farmaceutické společnosti Pfizer a Moderna v posledních smlouvách s EU navýšily ceny za vakcíny proti covidu-19. V případě Pfizeru je cenovka vyšší zhruba o čtvrtinu, Moderna je dražší asi o deset procent. Napsal to server Financial Times (FT), který získal k částem dohody přístup a podle nějž si firmy vyjednaly zvýšení cen díky obavám ohledně vedlejších účinků jiných očkovacích látek a diskuzím o nutnosti dalších posilovacích dávek pro již plně naočkované lidi. Pfizer a Moderna obsah svých smluv nekomentují.
https://www.ceskenoviny.cz/zpravy/pfize ... t/2071489?

S jídlem roste chuť...
Máš rozum? „Mám.“ Proč ho tedy neužíváš? Neboť když ten plní svou povinnost, co jiného ještě chceš? Marcus Aurelius "Hovory k sobě"
Propaganda z lidí idioty nedělá, propaganda je na idioty cílená. G. B. Shaw

Uživatelský avatar
petrp
Šéfredaktor
Příspěvky: 19182
Registrován: 31 led 2017, 18:04

Re: SARS-CoV-2 (COVID-19)

Příspěvek od petrp » 02 srp 2021, 05:40

SVĚT: Po cenzuře přichází povinné očkování
O tom, že západní svět ignoruje svobodu a demokracii a že takzvaní „giganti“ započali s její cílenou likvidací, je dostatek důkazů. Ruší se účty politickým soupeřům a po zaměstnancích se vyžaduje povinnost očkování. Tři velikáni světového digitálního průmyslu – společnosti Google, Facebook a Netflix – oznámili, že po svých zaměstnancích začnou vyžadovat a budou kontrolovat vakcinaci proti koronaviru. Zatím platí toto nařízení v USA. V praxi to znamená, že pokud se zaměstnanec Google nenechá očkovat, nebude moci od září nastoupit do práce, bude mu „laskavě“ dovoleno pracovat z domova. Zatím se tedy propouštění z práce neplánuje. Zatím. To zaměstnanci nemocnice v Texasu nedávno prohráli soudní spor o povinnosti nechat se očkovat proti covidu a zaměstnavatel tak má právo propustit je z pracovního poměru.
...
Je čas proti této politice zásadně vystoupit a podpořit politiky, které chtějí faktický návrat k normalitě a rozhodování o tom, zda se nechám očkovat či ne či zda budu nosit roušku či ne na každém z nás. Všechna „mimořádná opatření“ je možné bez rizika zrušit, jak ukazuje příklad Velké Británie. Další strašení obyvatelstva je cestou do politické nesvobody a diktatury.
Místo závěru – palcovými titulky se dnes oznamuje, že v Česku se utopí dvakrát tolik osob co v přímořských státech v přepočtu na obyvatele. A přitom je řešení tak „snadné“ – zákaz koupání. To by bylo, abychom tímto opatřením nezachránili životy těch, co by se jinak utopili. Že je to nesmysl? Samozřejmě, naprosto stejný, jako zákazy proti covidu v dnešní situaci.
https://neviditelnypes.lidovky.cz/zahra ... ranici_wag
Máš rozum? „Mám.“ Proč ho tedy neužíváš? Neboť když ten plní svou povinnost, co jiného ještě chceš? Marcus Aurelius "Hovory k sobě"
Propaganda z lidí idioty nedělá, propaganda je na idioty cílená. G. B. Shaw

Alchymista
Redakční rada
Příspěvky: 55077
Registrován: 01 úno 2017, 08:58

Re: SARS-CoV-2 (COVID-19)

Příspěvek od Alchymista » 02 srp 2021, 14:47

https://www.prvnizpravy.cz/zpravy/zprav ... ch-vojaku/
Čína: Washington by měl zveřejnit údaje o nemocnosti svých vojáků
Spojené státy mají zveřejnit údaje o výskytu nového koronaviru (Covid-19) mezi americkými vojáky, kteří se v roce 2019 zúčastnili světových válečných her ve Wu-chanu.
Toto prohlášení učinil oficiální zástupce ministerstva zahraničních věcí Čínské lidové republiky Zhao Lijian v odpovědi na otázku během pravidelné tiskové konference, informovala tisková agentura CGTN.

„Spojené státy zpolitizují epidemii, stigmatizují virus a snaží se využít otázku původu viru jako nástroje. Používají nepravdivé informace jako vodítko k akci, nerespektují fakta, vědu a spravedlnost. Chtějí přesunout odpovědnost za své neúčinné protiepidemické akce a dosáhnout politického cíle diskreditovat a potlačovat jiné země. Spojené státy bezpochyby sepíší nejhorší stránku v historii boje lidstva proti epidemii Covid-19, “uvedl představitel čínského ministerstva zahraničí.

Zdůraznil, že pokud chce Washington skutečně pochopit původ koronaviru, pak za prvé musí Spojené státy zveřejnit údaje o svých úplně prvních případech onemocnění. Za druhé, USA by měly pozvat odborníky WHO, aby vyšetřovali ve Fort Detrick a ve více než 200 biologických laboratořích mimo Spojené státy. Za třetí, Spojené státy by měly pozvat odborníky WHO, aby prováděli výzkum na univerzitě v Severní Karolíně. Nakonec by Washington měl zveřejnit údaje o výskytu amerických vojáků, kteří se zúčastnili wuhanských vojenských her v říjnu 2019.
Zhao Lijian připomněl: Spojené státy opakovaně vyjádřily svůj názor na laboratorní původ Covid-19 a zejména požadovaly další vyšetřování ve wuhanském virologickém institutu. Přitom se zapomíná, že experti WHO už dorazili do Wu -chanu a nepotvrdili možnost úniku viru z místních laboratoří.
COVID-19 nie je choroba, COVID-19 je globálny test inteligencie jedincov, spoločenstiev, národov a štátov.
Dinosauri sa venovali výhradne problémom vlastného rastu.

Alchymista
Redakční rada
Příspěvky: 55077
Registrován: 01 úno 2017, 08:58

Re: SARS-CoV-2 (COVID-19)

Příspěvek od Alchymista » 02 srp 2021, 14:59

https://www.zdravotnickydenik.cz/2021/0 ... 3-procent/
Výsledky farmaprůmyslu: Pfizer skoro zdvojnásobil tržby, zisk Johnson & Johnson vzrostl o 73 procent
Farmaceutické firmy odstartovaly výsledkovou sezónu. Jejich tržby i čisté zisky rostou o desítky procent, k čemuž mnohým pomohly prodeje vakcíny proti koronaviru. Americká skupina Pfizer hlásí výrazné zlepšení celoročního výhledu. Daří se také společnostem Johnson & Johsnon nebo AstraZeneca.

Americká farmaceutická skupina Pfizer utržila za druhé letošní čtvrtletí bezmála 19 miliard dolarů (asi 407 miliard korun). To skoro dvojnásobek než ve stejném období loňského roku, přesněji tedy nárůst o 92 procent. Vyplývá to z oznámení kvartálních výsledků, s nímž Pfizer přišel v uplynulém týdnu.

Z výkazů vyplývá, že obřím dílem se na tak rapidním nárůstu tržeb podílely prodeje vakcíny proti viru SARS-CoV-2. Na ně za druhý kvartál připadala skoro polovina veškerých tržeb společnosti. Pfizer odhaduje, že jen za očkovací látku proti koronaviru v tomto roce vyinkasuje asi 33,3 miliardy dolarů. Očekává, že za celý rok 2021 na trh dodá 2,1 miliardy dávek.
Pfizer: Vakcíny zařídily skoro polovinu tržeb

Ale i bez započítání tržeb z vakcíny proti koronaviru prodeje Pfizeru o deset procent vzrostly. „Druhé čtvrtletí bylo nepřehlédnutelné hned v několika směrech. Nejviditelnější je rychlost a efektivnost, s jakou jsme ve spolupráci se společností BioNTech byli schopni pomoci očkovat celý svět proti koronaviru,“ uvedl v doprovodném vyjádření k výsledkům Albert Bourla, výkonný ředitel Pfizeru.

Podle něho se dá očekávat, že i bez započtení prodejů vakcíny Comirnaty (komerční označení vakcíny proti SARS-CoV-2 z dílny firem Pfizer a BioNTech, pozn. red.) bude Pfizer schopen dosáhnout průměrného ročního tempa růstu tržeb nejméně na úrovni šesti procent. Takového výsledku chce Bourla dosáhnout v následujících čtyřech letech.
Americké farmaceutické skupině se ve druhém kvartále podařilo rovněž zvýšit čistý zisk a také zisk připadající na jednu akcii. Čistý zisk přesáhl 5,5 miliardy dolarů (bezmála 118 miliard korun), a byl tak meziročně o 59 procent vyšší. Prakticky stejným tempem vzrostl i zisk na akcii.

Německá farmaceutická společnost BioNTech, s níž Pfizer spolupracuje na vývoji, výrobě a distribuci vakcíny proti koronaviru, své kvartální výsledky teprve oznámí. Mělo by se tak stát v pondělí 9. srpna.
Johnson & Johnson rostl díky zdravotnickým přístrojům

Své kvartální výsledky zveřejnil také další americký výrobce vakcíny proti koronaviru, společnost Johnson & Johnson. Za druhé čtvrtletí utržil 23,3 miliardy dolarů (skoro 500 miliard korun), což představuje meziroční zvýšení o 27,1 procenta. Čistý zisk pak meziročně stoupl o více než 73 procent na 6,28 miliardy dolarů. To je v přepočtu kolem 135 miliard korun.

Na rozdíl of Pfizeru ale Johnson & Johnson za svůj úspěch nevděčí vakcínám proti koronaviru, nýbrž prodejům zdravotnických přístrojů. Jen za ně utržil necelých sedm miliard dolarů (přibližně 150 miliard korun), což je o bezmála 60 procent více než ve stejném období loňského roku.

„Naše druhé čtvrtletí ukázalo, že Johnson & Johnson má diverzifikované portfolio, které bylo taženo silným růstem prodejů zdravotnických přístrojů, ale i spotřebitelskými zdravotnickými výrobky a farmaceutickým byznysem,“ uvedl v tiskovém prohlášení k výsledkům Alex Gorsky, výkonný ředitel společnosti. „Jsem hrdý na našich 136 tisíc kolegů, kteří těmto výsledkům pomohli,“ dodal.

Johnson & Johnson má portfolio diverzifikované nejen z produktového, ale i z geografického hlediska. Dařilo se mu zvyšovat tržby jak na americkém trhu, tak na trzích zahraničních s tím, že tento růst byl ve všech případech prakticky rovnoměrný.
AstraZeneca přísně odděluje vliv prodejů vakcíny proti SARS-CoV-2

Rovněž třetí výrobce vakcíny proti SARS-CoV-2, britsko-švédská společnost AstraZeneca, oznámil, jak se mu ve druhém letošním čtvrtletí finančně dařilo. Celkové tržby stouply meziročně o 31 procent na 8,22 miliardy dolarů (asi 176 miliard korun). Bez započtení příjmů z vakcín proti koronaviru však AstraZeneca utržila jen 7,33 miliardy dolarů (asi 157,2 miliardy korun).

Čtvrtletní zisk na akcii AstraZenece klesl o 27 procent, za celé první pololetí byl ale o 37 procent vyšší. „AstraZeneca zaznamenala další čtvrtletí ve znamení silného růstu, a to díky vyšší výkonnosti ve všech druzích léčivých přípravků napříč všemi regiony. Zejména se dařilo v oblasti onkologických léků nebo přípravků pro léčbu respiračních onemocnění,“ uvedl v tiskovém prohlášení k výsledkům Pascal Soriot, výkonný ředitel AstraZeneky.

Celoroční tržby společnosti by pak měly vykázat růst lehce nad 20 procent s tím, že AstraZeneca do svého výhledu nezahrnuje dopad prodejů vakcíny proti koronaviru. „AstraZeneca si je i nadále vědoma rizik a nejistot, která jsou spojena s prodejem vakcín proti koronaviru, včetně potenciálního dopadu objevení zcela nového léků na Covid-19, který je v klinické fázi vývoje,“ uvedla AstraZeneca v prohlášení.
COVID-19 nie je choroba, COVID-19 je globálny test inteligencie jedincov, spoločenstiev, národov a štátov.
Dinosauri sa venovali výhradne problémom vlastného rastu.

Uživatelský avatar
petrp
Šéfredaktor
Příspěvky: 19182
Registrován: 31 led 2017, 18:04

Re: SARS-CoV-2 (COVID-19)

Příspěvek od petrp » 02 srp 2021, 19:50

7 důvodů, proč by stát měl uznávat protilátky stejně jako v sousedním Rakousku
Nejvyšší správní soud rozhodl, že pokud stát neuznává protilátky jako doklad o prodělané nemoci, jedná se o diskriminaci. Ministerstvo zdravotnictví se nicméně následně rozhodlo soudní rozhodnutí zcela ignorovat.
Premiér Andrej Babiš při tom dal najevo, že by Ministerstvo zdravotnictví mělo postupovat stejně jako sousední Rakousko, které protilátky na nový typ koronaviru uznává. Asi o dva dny později se ministerstvo nicméně rozhodlo, že i přes rozhodnutí soudu se protilátky v Česku uznávat nebudou. Kromě toho, že by se exekutiva v demokratické společnosti rozhodnutími soudu měla řídit, a že to vypadá, že pravá ruka neví, co dělá levá, existuje řada důvodů, proč by stát protilátky uznávat měl.
https://evan.blog.idnes.cz/blog.aspx?c=773909
Máš rozum? „Mám.“ Proč ho tedy neužíváš? Neboť když ten plní svou povinnost, co jiného ještě chceš? Marcus Aurelius "Hovory k sobě"
Propaganda z lidí idioty nedělá, propaganda je na idioty cílená. G. B. Shaw

Alchymista
Redakční rada
Příspěvky: 55077
Registrován: 01 úno 2017, 08:58

Re: SARS-CoV-2 (COVID-19)

Příspěvek od Alchymista » 03 srp 2021, 18:42

https://www.ac24.cz/zpravy-ze-sveta/kor ... roku-2019/
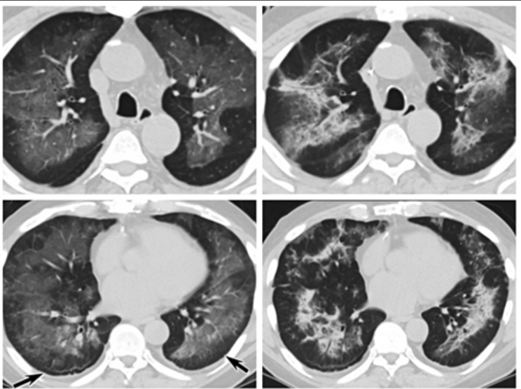
Koronavirus na snímcích plic amerických pacientů z roku 2019?
Když vzniknou nové nakažlivé choroby, je to vždy zdlouhavá pečlivá práce, která vede k vystopování jejich původu. (Foto: Twitter)
Screenshot_458[1].jpg
Ty nemoci se zpravidla výrazně projeví někde s vysokou hustotou obyvatelstva, jako jsou velká města, ale právě proto tam bývají objeveny. Když se objeví jako ojedinělé případy někde v místě vzniku a navíc se svými symptomy podobají jiným nemocem, zůstávají nepovšimnuty, dokud nevyvolají hromadnou epidemii ve velkém městě, kde se na to pak nasadí důkladnější metody zkoumání a s překvapením se zjistí, že to není divná chřipka, nýbrž že je za tím nějaký nový virus.

Pak následuje dlouhé, někdy i mnoho let trvající pátrání, po původu, který bývá před delší dobou někde třeba na venkově ve styku se zvířaty. Takový AIDS také vypukl v 80. letech v Americe a nakonec po letech zkoumání se přišlo na to, že přítomen byl na světě už nejméně desítky let, ale teprve v 80. letech ho věda byla schopna odlišit a v Africe byl hojný alespoň 40 let předtím.

Stejné to nejspíš je i s COVID-19, objeveným ve Wuhanu ale na světě už dávno rozšířeným, kvůli čemuž bylo krátce po jeho vzniku odhaleno množství jeho variant v různých zeměpisných oblastech, kdy nejvíce těch variant bylo v USA, a onemocnění byla diagnostikována jako chřipky, standardní zápaly plic aj. A takových onemocnění se před vypuknutím pandemie na mnoha místech včetně USA vyskytovalo hodně.

Jednou ze záhadných chorob, která se náhle objevila, a lékaři ji nechápali, byla plicní choroba z kouření e-cigaret, která roku 2019 zachvátila 50 amerických států. Jenže podle skupiny čínských výzkumníků a radiologů, kteří prozkoumali 250 CT snímků z publikovaných článků o záhadně se roku 2019 v USA šířící nemoci z e-cigaret (EVALI), řada obrázků vypadá úplně stejně, jako by ti lidé měli COVID-19.

Čínský výzkumný tým, který na tom pracuje, tisku vyzradil, že zkoumal 250 CT skenů od 142 pacientů s EVALI z 60 publikovaných studií. Přitom podle čínských výzkumníků alespoň 16 EVALI pacientů muselo mít ve skutečnosti virovou infekci a u pěti dalších je na to podezření. Přitom ta virová infekce vypadá přesně, jako by šlo o COVID-19.

Všech 16 EVALI pacientů, u kterých v tom byly určitě viry, bylo z USA a 12 onemocnělo v průběhu roku 2019.

Určitě by stálo zato prověřit, zda ty ze snímků vytipované případy EVALI byly opravdu ranými projevy rozbíhající se infekce v USA už roku 2019, a tak by to bylo při normálním vědeckém přístupu standardní.
Roku 2019 ještě nebyly k dispozici virové testy nukleových kyselin odhalující tuto chorobu, a tak je normální, že všichni její nositelé byli diagnostikováni běžnými chorobami s podobnými příznaky a není se co divit, že lidi se zápalem plic kvůli COVID-19 diagnostikovali jako pacienty s EVALI. Teprve, když divná epidemie zvláštních „chřipek“ a pneumonií vypukla v ohromném měřítku ve Wuhanu za dveřmi genetické laboratoře, koukli se na to výzkumníci přes geny, aby zjistili, co je to za novou chřipku, a s ohromením objevili nový koronavirus.

Teď je však v zájmu celého lidstva, aby si nenechalo narušit reálné šetření původu viru politikáři, kteří by chtěli z vlastní nepodložené povídačky udělat ideologickou zbraň. Vzhledem k největší rozmanitosti kmenů v USA a míře zamoření populace v průběhu epidemie by místní výzkumníci a lid měli právě na to intenzivně tlačit.

Ty CT skeny jsou samozřejmě jen prima facia důkazem, ale ani když někoho po střelbě chytí s kouřící zbraní v ruce, není to ještě konečný důkaz, že střílel on. A tak by bylo záhodno, aby na tato zjištění čínských výzkumníků navázali jejich kolegové v USA a začali dělat testy krve těch pacientů s EVALI na protilátky ke zjištění, kolik jich mělo ve skutečnosti COVID-19. A pokud takové prověřování probíhat nezačne nebo se jeho výsledky nebudou normálně zveřejňovat, musí to zákonitě budit silné podezření.

Soudě dle mediálních zpráv se ta plicní choroba z e-cigaret náhle začala v USA rychle šířit od července 2019. Zároveň v té době také asi došlo k nějakému průšvihu v laboratoři ve Fort Detrick, neboť jim Americký úřad pro kontrolu a prevenci chorob (US CDC) nařídil přerušit několik výzkumných programů. V srpnu 2019 pak najednou ohromně narostl počet pacientů s nemocí z e-cigaret, což pak kulminovalo v září.

18. února 2020 byla v USA hlášena první úmrtí na COVID-19 neboli jak se v USA s oblibou říká Wuhanský virus. To však už měli hlášeno ve všech 50 státech 2 807 případů hospitalizovaných s EVALI. Tato choroba však zůstává dále záhadou, neboť nikdo nezná její opravdu určenou potvrzenou příčinu.

Jedním z míst, kde ta plicní nemoc z e-cigaret dosáhla v září 2019 neskutečných počtů, byl Maryland, kde je proslulá americká laboratoř biologického válčení Fort Detrick, kam se také sváží, kultivují a zkoumají všechny vysoce infekční viry světa. Proto také petice naléhající na WHO, aby začala se zkoumáním laboratoře Fort Detrick získala přes 20 milionů podpisů a ta čísla dále rostou.

Také výzkumy amerického Národního institutu zdraví (NIH) zjišťují, že nejméně pět lidí mělo COVID-19 s nejvyšší pravděpodobností nejméně měsíc před prvními oficiálně potvrzenými případy z 21. ledna 2020.

Za takových okolností je naprosto nenormální, pokud USA nerozběhnou výzkum raných výskytů této choroby na svém území a prověrky podezřelých případů před zjištěným šířením choroby. Tedy do takového transparentně prováděného celosvětového výzkumu by se možná měly zapojit všechny země světa. A bude dost nenormálního, pokud tak světová komunita postupovat nebude.

Prozatímní hrátky Bidenovy administrativy dusící vědecký výzkum raných případů COVID-19 v USA a rozpoutávající cosi, co čínské Ministerstvo zahraničí označilo za „terorismus páchaný pátráním po původu viru“, ale naznačují, že normalita při vyšetřování původu choroby narazí na problémy.

Určité kruhy v USA též rozpoutávají něco na způsob epidemiologického McCarthismu. Je samozřejmě logické, že normální vědci a zdravotníci chtějí standardní šetření raného výskytu viru provádět. Ve „svobodných, liberálních“ USA se však rozpoutává politická a mediální kampaň, jako by takový standardní přístup byl protistátní činností. Dokonce prý některá média normální epidemickou zvídavost v řadách vlastních odborníků označují za akt terorismu.
COVID-19 nie je choroba, COVID-19 je globálny test inteligencie jedincov, spoločenstiev, národov a štátov.
Dinosauri sa venovali výhradne problémom vlastného rastu.

Alchymista
Redakční rada
Příspěvky: 55077
Registrován: 01 úno 2017, 08:58

Re: SARS-CoV-2 (COVID-19)

Příspěvek od Alchymista » 03 srp 2021, 19:03

https://www.zdravotnickydenik.cz/2021/0 ... ku-covidu/
SZÚ: Podezření na variantu delta je v ČR u 90 procent vzorků covidu
Podezření na variantu koronaviru delta má podle Státního zdravotního ústavu (SZÚ) v Česku 90 procent pozitivních vzorků. Podezření se objeví už při vyšetření pacienta metodou PCR, s jistotou je varianta potvrzena až sekvenací DNA viru. Těchto podrobných vyšetření bylo v červenci 189, ve dvou vzorcích byla objevena varianta delta plus.

Podezření na variantu koronaviru delta má podle Státního zdravotního ústavu (SZÚ) v Česku 90 procent pozitivních vzorků. Ústav o tom včera informoval v tiskové zprávě. Podezření se objeví už při vyšetření pacienta metodou PCR, s jistotou je varianta potvrzena až sekvenací DNA viru.

Koronavirus se od svého vzniku před koncem roku 2019 v Číně neustále vyvíjí. Vědci původně jeho nové varianty pojmenovávali podle místa, kde byly poprvé popsány. Po nejstarší čínské variantě, která se v ČR šířila od loňského března, převládla před koncem roku takzvaná britská, která byla nakažlivější. Od pojmenování podle zemí se upustilo a nově je označují písmena řecké abecedy, britská varianta dostala přízvisko alfa. Varianta delta byla odhalena na jaře v Indii a výrazně se šířila i na britských ostrovech. První případy se objevily v Česku před letními prázdninami. Projevuje se také jinými příznaky, místo dříve typické ztráty čichu se může objevit rýma a únava, které mohou lidé snadno zaměnit za jiné onemocnění.

„Relativně malý počet pozitivních detekcí viru při současné dominanci varianty delta lze přisoudit i účinnosti vakcinace a také přetrvávající imunitě těch, kteří covid-19 prodělali,“ uvedl SZÚ. Roli podle jeho ředitelky Barbory Mackové hraje i to, že více než 15 procent populace nemoc prodělalo a v létě není sezona respiračních onemocnění.

„Na podzim nás čeká sezona respiračních onemocnění, a proto je i nadále zásadní dodržování všech aktuálně platných hygienických pravidel, nepodcenění kontrolních testů, a pokud to situace vyžaduje, i řádné dodržení karantény při návratu z dovolených,“ dodala.

Takzvaných diskriminačních PCR testů bylo v posledním červencovém týdnu přes 2300, tímto způsobem vzorky zpracovává 65 laboratoří. V červenci bylo zatím sekvenováno 189 vybraných vzorků a v 168 případech byla varianta delta, ve dvou nová delta plus. První byla v Česku zaznamenána 19. července. Zatím je velmi málo prozkoumaná, podle odborníků Světové zdravotnické organizace (WHO) může ovlivnit schopnost protilátek zneškodnit virus. Proto je obava, že by mohla být smrtelnější a odolnější vůči lékům a vakcínám.

Nové varianty viru vznikají tam, kde má virus možnost se mezi lidmi šířit. Mutací je jednotlivá změna aminokyseliny v genetické informaci viru, varianta je kombinací několika bodových mutací, které vytvoří specifickou variantu.

„Virus si získává přirozeným vývojem stále vyšší odolnost proti poznaným obranným mechanismům hostitele. To znamená, že mění svou genetickou informaci tak, aby lépe přežil. Pokud jde pouze o změnu jednotlivou, říkáme, že vznikla mutace. Pokud ale virus ve svém vývoji pro získání vyšší odolnosti prodělá současně více změn genu, pak už mluvíme o vzniku nové varianty, která se může šířit z jednoho území, kde takto virus reagoval,“ vysvětlila Macková.
COVID-19 nie je choroba, COVID-19 je globálny test inteligencie jedincov, spoločenstiev, národov a štátov.
Dinosauri sa venovali výhradne problémom vlastného rastu.

Alchymista
Redakční rada
Příspěvky: 55077
Registrován: 01 úno 2017, 08:58

Re: SARS-CoV-2 (COVID-19)

Příspěvek od Alchymista » 03 srp 2021, 19:04

https://www.zdravotnickydenik.cz/2021/0 ... naci-deti/
Německo nabídne ohroženým třetí dávku proti covidu a podpoří vakcinaci dětí
Německo ohrožené skupiny obyvatel naočkuje třetí dávkou vakcíny proti nemoci covid-19 a rovněž plošně nabídne vakcinaci dětí od 12 let. Včera se na tom shodl německý ministr zdravotnictví Jens Spahn s kolegy z jednotlivých spolkových zemí. Rozhodnutí bylo jednomyslné.

Německo naočkuje ohrožené skupiny obyvatel třetí dávkou vakcíny proti nemoci covid-19 a rovněž plošně nabídne vakcinaci dětí od 12 let. Včera se na tom shodl německý ministr zdravotnictví Jens Spahn s kolegy z jednotlivých spolkových zemí.

Bavorský ministr zdravotnictví Klaus Holetschek, který společnému ministerskému grémiu předsedá, po jednání řekl, že rozhodnutí bylo jednomyslné. „Jsme přesvědčeni, že v rámci zdravotní prevence to je smysluplné a správné,“ řekl Holetschek o třetí dávce a očkování dětí.

„Každý, kdo chce, může být v létě naočkován. Máme dostatek očkovací látky pro všechny věkové skupiny,“ prohlásil po jednání Spahn. Dodal, že i mládež od 12 let, která se po konzultaci s lékařem rozhodne pro vakcínu, může přispět k ochraně společnosti.

Včerejší dohoda není překvapivá, protože Spahn i jeho zemští kolegové o nezbytnosti třetí dávky a také o podpoře plošného očkování dětí hovoří dlouhodobě. Německá média nicméně zdůrazňují, že rozhodnutí ministrů jde proti doporučení německé Stálé očkovací komise (Stiko). Ta již v červnu uvedla, že upřednostňuje imunizovat děti a mladistvé ve věku 12 až 17 let jen tehdy, pokud mají zdravotní problémy.

Doporučení Stiko není závazné, vláda se ale radami komise doposud během pandemie řídila. V Evropské unii a tedy i v Německu jsou pro děti od 12 let schváleny preparáty společností Pfizer/BioNTech a Moderna.

Děti od 12 let budou mít v Německu přístup k vakcíně v očkovacích střediscích, nyní je pro tuto kategorii upřednostňována imunizace u praktických lékařů. Například Bavorsko chce látku dětem ve střediscích a také ve školách nabídnout od poloviny tohoto měsíce.

Plánovaná třetí dávka pro rizikové skupiny má podle Spahna a jeho zemských kolegů posílit ochranu již imunizovaných lidí se zdravotními problémy, aby je možná další vlna infekce na podzim neohrozila. Pro posilující dávku v podobě mRNA vakcín od Pfizeru/BioNTechu a Moderny nebude záležet na tom, zda lidé předtím dostali vektorovou vakcínu od společností AstraZeneca či Johnson & Johnson. Kombinace vakcín byla v Německu možná již nyní, neboť u vektorových preparátů bylo hlášeno několik případů mozkové žilní trombózy.
A kartonovú rakvu a desaťročné prémiové členstvo v spolku priateľov žehu ako bonus...
COVID-19 nie je choroba, COVID-19 je globálny test inteligencie jedincov, spoločenstiev, národov a štátov.
Dinosauri sa venovali výhradne problémom vlastného rastu.

Uživatelský avatar
petrp
Šéfredaktor
Příspěvky: 19182
Registrován: 31 led 2017, 18:04

Re: SARS-CoV-2 (COVID-19)

Příspěvek od petrp » 04 srp 2021, 09:04

Očkování dětí proti covidu má v ordinacích lékařů začít od pondělí
Očkování dětí nad dvanáct let proti koronaviru v ordinacích pediatrů má podle ministra zdravotnictví Adama Vojtěcha začít příští týden. Dětští lékaři budou podávat látku od firmy Moderna. Chybí ještě podpis smlouvy s distributorem. Ministerstvo ho očekává ke konci týdne. Někteří pediatři se ale obávají, že vakcínu by tak mohli dostat později, než resort sliboval.
https://ct24.ceskatelevize.cz/domaci/33 ... od-pondeli
Máš rozum? „Mám.“ Proč ho tedy neužíváš? Neboť když ten plní svou povinnost, co jiného ještě chceš? Marcus Aurelius "Hovory k sobě"
Propaganda z lidí idioty nedělá, propaganda je na idioty cílená. G. B. Shaw

Alchymista
Redakční rada
Příspěvky: 55077
Registrován: 01 úno 2017, 08:58

Re: SARS-CoV-2 (COVID-19)

Příspěvek od Alchymista » 04 srp 2021, 16:14

https://www.ac24.cz/zpravy-ze-sveta/mus ... prezident/
„Farmaceutické společnosti nám chtějí prodávat vakcíny navždy,“ varoval mexický prezident
Uživatelé sociálních médií se domnívají, že mexický prezident Andres Manuel Lopez Obrador by mohl čelit vážným následkům poté, co odmítl nakoupit vakcíny Covid-19 pro děti a slíbil, že Mexiko nepodlehne tlaku farmaceutických firem.

Ve svých výrocích ze začátku tohoto týdne mexický vůdce uvedl, že jeho vláda stále čeká, až vědecká komunita prokáže přínos očkování nezletilých.

Obrador prohlásil, že dokud nebudou předloženy přesvědčivé důkazy, Mexiko odmítne nakupovat očkovací látky pro děti, a dodal, že farmaceutické firmy se zřejmě soustředí spíše na dosahování zisků než na zajištění lékařské nezbytnosti, protože jejich tržby z vakcín Covid-19 jsou rekordní.

Mexiko si nenechá vzít jako rukojmí farmaceutické společnosti, které chtějí pouze obchodovat a strašit děti představou, že je nutné očkovat proti Covidu-19.

Podobně kriticky se vyjádřil k plánům farmaceutických společností zavést třetí nebo dokonce čtvrtou dávku posilovacího očkování a vyslovil názor, že tato očkování by mohla být „zbytečná“.

Náměstek ministra zdravotnictví Hugo Lopez-Gatell ve svém projevu na stejné téma prohlásil, že „neexistují žádné vědecké důkazy“, které by ukazovaly, že očkování je pro nezletilé „nezbytné“, vzhledem k vysoké míře proočkovanosti dospělé populace, uvedl druhý nejstarší mexický deník Excelsior.

Mexiko schválilo pro nouzové použití řadu vakcín Covid, včetně očkovacích látek vyvinutých společnostmi Pfizer, AstraZeneca, Johnson & Johnson a Sinovac, jakož i ruskou vakcínou Sputnik V.

Ministerstvo zdravotnictví země nedávno odhalilo, že minimálně 48 % Mexičanů obdrželo alespoň jednu dávku vakcíny.

Obradorovy provokativní výroky, které mezinárodní média z velké části ignorovala, se staly virálními poté, co bylo video s anglickými titulky jeho projevu sdíleno na sociálních sítích.
COVID-19 nie je choroba, COVID-19 je globálny test inteligencie jedincov, spoločenstiev, národov a štátov.
Dinosauri sa venovali výhradne problémom vlastného rastu.

Uživatelský avatar
petrp
Šéfredaktor
Příspěvky: 19182
Registrován: 31 led 2017, 18:04

Re: SARS-CoV-2 (COVID-19)

Příspěvek od petrp » 05 srp 2021, 07:50

Registrační systém očkování už není potřeba, shodují se hejtmani Vondrák a Mauritzová
Neregistrovaní zájemci v Moravskoslezkém kraji se mohou nechat naočkovat proti koronaviru od mobilních týmů. V Plzeňském kraji zase organizují vakcinaci ve spolupráci se starosty z méně proočkovaných oblastí. Registrační systém už je zbytný, shodli se ve středečních Událostech, komentářích hejtman Moravskoslezského kraje Ivo Vondrák a hejtmanka Plzeňského kraje Ilona Mauritzová.
https://ct24.ceskatelevize.cz/domaci/33 ... mauritzova
Máš rozum? „Mám.“ Proč ho tedy neužíváš? Neboť když ten plní svou povinnost, co jiného ještě chceš? Marcus Aurelius "Hovory k sobě"
Propaganda z lidí idioty nedělá, propaganda je na idioty cílená. G. B. Shaw

Alchymista
Redakční rada
Příspěvky: 55077
Registrován: 01 úno 2017, 08:58

Re: SARS-CoV-2 (COVID-19)

Příspěvek od Alchymista » 05 srp 2021, 16:22

https://www.czechfreepress.cz/dalsi-blo ... inach.html
KONEC LŽÍ O VAKCÍNÁCH
Aféra okolo našich nakažených sportovců na olympiádě až neuvěřitelně odkryla skutečnou situaci a lži okolo tzv. Covid vakcín.

1. Díky tomu, že Japonci testují bez výjimky jak očkované tak i neočkované účastníky olympiády, se prokázalo, že vakcíny nebrání opětovnému nakažení se a přenosu Covid infekce. Prokazatelně se Covidem nakazili již dvakrát očkování čeští sportovci.

2. Před odletem v ČR se to nezjistilo, protože plně očkovaní lidé se u nás na rozdíl od Japonska záměrně netestují, aby se výše uvedený fakt nedostal k lidem, kteří se teprve o svém očkování rozhodují.

3. Dalším zásadním důkazem, že vakcíny na Covid nebrání přenosu Covid infekce je to, že i plně očkovaní lidé musí dále nosit roušky.

Vakcíny jim pouze snížily riziko těžkého průběhu Covid (což úplně nepotvrzuje skutečnost, že už dochází k úmrtí očkovaných lidí), ale stále mohou Covid virus přenášet na druhé lidi a ohrožují tak dále jejich zdraví.

4. To znamená, že tyto vakcíny nevytvářejí žádnou kolektivní imunitu vůči Covid a zvláště vůči jeho novým mutacím (kmenům), která se používá jako hlavní argument pro jejich propagaci. Žádnou tečku za Covidem neudělají a ani nemohou, jak to ostatně vidíme v mnohem více pro-očkovaných zemích jako je Izrael a Velká Británie, kde počty nakažených očkovaných prudce stoupají.

5. Z tohoto důvodu je naprosto nesmyslné vytvářet jakoukoli diskriminaci neočkovaných a výhody pro očkované, protože obě skupiny obyvatel mohou přenášet Covid infekci stejně. Veškeré Covid pasy jsou tedy podvodem a jenom nástrojem zavádění totalitní diktatury pod lživou záminkou ochrany veřejného zdraví.

6. Skutečné vakcíny ale z definice mají fungovat tak, že zabrání opětovnému nakažení se a přenosu infekce dále.

To tzv. Covid vakcíny neumí, jak se právě v Japonsku prokázalo, a proto bychom je vůbec vakcínami neměli nazývat, protože definici vakcíny prostě nesplňují. Správně bychom je měli nazývat injekčně podávaným lékem, který po omezenou dobu několika měsíců by měl
snižovat (?) riziko těžkého průběhu Covid.

7. Snížit riziko těžkého průběhu Covid ale dovede stejně nebo i lépe celá řada levných léků a vitamínů jako je zinek, Vitamín D a C, ivermectin, hydrochlorochin, které nemají těžké nepříznivé vedlejší účinky jako tzv. Covid vakcíny, po kterých již prokazatelně umírají naočkovaní lidé na zánět srdečního svalu a trombózy.

8. A hlavně, pokud si jednou necháme tyto Covid vakcíny píchnout do krve, je to nevratné a nic už je z našeho těla nedostane ven. To se u výše zmíněných levných léků podávaných orálně neděje.

9. Přesto všechno jsou nám tyto nebezpečné Covid ne-vakcíny zdravotnickými a státními autoritami dále účelově prezentovány jako jediné řešení a propagovány každodenním lhaním, strašením, vyhrožováním a podplácením. PROČ?

Závěry z výše uvedeného si udělejte sami.
COVID-19 nie je choroba, COVID-19 je globálny test inteligencie jedincov, spoločenstiev, národov a štátov.
Dinosauri sa venovali výhradne problémom vlastného rastu.

Alchymista
Redakční rada
Příspěvky: 55077
Registrován: 01 úno 2017, 08:58

Re: SARS-CoV-2 (COVID-19)

Příspěvek od Alchymista » 05 srp 2021, 17:20

https://echo24.cz/a/S5Six/nova-studie-4 ... y-na-covid
Nová studie: 40 procent divokých jelenů mělo protilátky na covid
Jeleni jsou po norcích teprve druhým zvířetem, u kterého se ve volné přírodě potvrdila nákaza koronavirem, jenž způsobuje onemocnění covid-19. Z posledních testů, které americké ministerstvo zemědělství provedlo u 385 kusů divokých jelenů, překvapivě vyplývá, že nemocí prošlo celých 40 % z testovaných jedinců.

Od ledna do března letošního roku americké ministerstvo zemědělství odchytlo ve volné přírodě 385 kusů jelenců běloocasých (jinak také jelen virginský), aby je podrobilo protilátkovým testům na koronavirus. Odchyt divokých zvířat probíhal ve čtyřech amerických státech – Michigan, Ilinois, New York a Pensylvánie. Překvapivé pak je, že protilátky mělo podle ministerstva 40 % z těchto divoce žijících zvířat. Kde k nim ale jelenci přišli? Výsledky studie publikoval list New York Post.

Podle některých vědců se mohla zvěř nakazit od lidí, testovaní jedinci však nevykazovali žádné výrazné symptomy onemocnění.

Testy byly provedeny v rámci pravidelného výzkumu v populaci tohoto nejrozšířenějšího druhu amerického jelena. V USA jich žije asi 30 milionů. Mluvčí ministerstva zdravotnictví předpokládá, že podobně mohli být vystaveni onemocnění i jelenci v jiných státech.

Jde o první studii, která potvrzuje přenos viru mezi jeleny ve volné přírodě. Jediným zvířetem, u kterého se prokázala nákaza tímto virem ve volné přírodě, byli doposud norci. Vědci nicméně detekovali virus u řady zvířat již dříve. Šlo o savce jako jsou kočky, psi, vydry, lvi, tygři, levharti nebo gorily, vždy to ale byla zvířata žijící v zajetí.
COVID-19 nie je choroba, COVID-19 je globálny test inteligencie jedincov, spoločenstiev, národov a štátov.
Dinosauri sa venovali výhradne problémom vlastného rastu.

Odpovědět